
youtube
다양한 치과 관련 정보
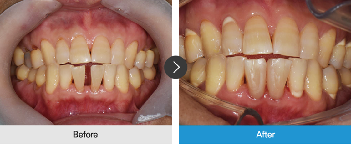
겟레디위드미
WITH ME YOUTUBE








| 진료내용 | 종류 | 진료비용 | 기타 | |
| 인레이(Inlay) | Gold inlay | Onlay (교두포함) | x | |
| empress inlay, Ceramic inlay(라바인레이) | 330,000 | |||
| 레진(Resin) | 대구치, 소구치 1면 (pit) | 100,000 | ||
| 대구치, 소구치 1면 | 150,000 | 2면 200,000, 3면 250,000 | ||
| 전치 | 간단 (구개면) | 100,000 | 부위 크면 비용 추가 | |
| 복잡 (협면, 인접면-dia) | 250,000~300,000 | |||
| 치경부 | 80,000 | |||
| 레진 | 70,000 | 2면 100,000, 3면이상 150,000 | ||
| SS Crown | 100,000 | |||
| Metal Crown (impression) | 150,000 | |||
| 공간유지장치 I | (Band&Loop) | 200,000 | ||
| 공간유지장치 II | (Crown&Loop) | 250,000 | ||
| 공간유지장치 III | (Lingual arch) | 400,000 | ||
| 실란트(Sealant) | 치아당(비보험) | 40,000 | ||
| 불소도포 | 젤, 바니쉬 | 전악(보험진료비 제외) | 9,900 | 워터베이스 30,000 |
| MTA | Base | 치아당 | 100,000 | |
| Canal filling | 근관당 | 100,000 | ||
| 코어(Core) | 레진 + gi | 치아당 | 50,000 | 2부위 70,000 3부위이상 100,000, 코어마무리 100,000 |
| 포스트(Post) | fiber | 치아당 | 100,000 | |
| 주조 | 치아당 | 200,000 | ||
| 크라운(Crown) | 금니 (Gold) | A type(47%) | x | |
| 도재금관(PFM) | 전치, 소구치(collarless) | 450,000 | ||
| 대구치 | 400,000 | |||
| 전부도재관(Zirconia+Ceramic) | 전치, 소구치 | 600,000 | ||
| 대구치 | 450,000 | |||
| 라미네이트 | 부가세 포함 | 550,000 | ||
| 임플란트(Implant) | 포인트 | 일반 | 890,000 | |
| 오스템 | TS | 990,000 | ||
| BA | 1,090,000 | |||
| *전치부 All ceramic Cr + Zir custom abutment : + 100,000 | ||||
| 인공뼈이식(GBR, R.split) | 치아당 | 300,000 | ||
| 상악동거상술 | 치조정접근법 (치아당) | 500,000 | ||
| 측방접근법 (부위당) | 1,000,000 | |||
| 스플린트 | CR | 턱관절치료용 | 500,000 | 진료비 2만 |
| Nightgard | 이갈이용 | 500,000 | 진료비 2만 | |
| wire Splint | (치아당) | 100,000 | ||
| 보톡스 | 오스템 | 25unit * 2site(부가세 포함) | 66,000 | |
| 치아미백 | 전문가미백 | 2회 - 오스템 (부가세 포함) | 270,000 | |
| 1회 추가시 | 110,000 | |||
| 틀니 | CD | 악당 | 1,500,000 | |
| RPD | 악당 | 1,500,000 | ||
| Overdenture | 악당 | 2,000,000 | ||
| 로케이터 | 500,000 | |||
| 의치수리 | 200,000~300,000 | |||
| 임시의치(중간의치) | 악당 | 300,000 | ||
| Flipper | 부위당 | 100,000 | ||
| 진단서 | 통원확인서 | 0 | ||
| 병무용진단서 | 20,000 | |||
| 보험제출용 치과치료확인서, 진단서 | 10,000 | |||
| 상해진단서 | 50,000 | |||
| 상해진단서(3주 이상) | 100,000 | |||
| 진료기록사본(1~5장) | 장당 1000원 | 1,000 | 6장부터 장당 100원 | |
| 진료기록영상-usb | usb 비포함 | 3,000 | ||
| 스켈링 | 비보험 | 1/3악당 | 10,000 | |
| 비보험 | 상악 | 25,000 | ||
| 비보험 | 하악 | 25,000 | ||
| 비보험 | 전악 | 50,000 | ||
| 기타 | 타원 임플란트 hole R.F | 30,000 | ||
| 타원 고정식 유지장치 재부착 치아당 | 치아당 | 30,000 | ||
| 레진 제거비용 | 20,000 | |||
| 타원 고정식 유지장치 재제작 치아당 | 치아당 | 50,000 | ||
| 전치부 보철 진단 wax-up | 100,000 | |||
